
Optimismo
Buenas noticias de la semana
Cinco titulares positivos que te alegrarán el lunes
Sabemos que los lunes cuestan, así que aquí os dejamos un recopilatorio con cinco titulares de noticias positivas (que también existen) de estos últimos días. ¡A por la semana!
1. El mundo se rinde a Nadal tras su 14º Roland Garros

Sí, Nadal lo ha vuelto a hacer. Diecisiete años después de levantar su primera Copa de los Mosqueteros ya acumula 14 en otras tantas finales. ¡Catorce! ¡XIV! Infalible. Ampliando el foco: ya son 22 los Grand Slams. ¡Veintidós! ¡XXII! Dos de diferencia con Djokovic y con Federer en la pelea por ser el más grande de la Historia. Lo dicen los números y una ambición competitiva única en el deporte mundial. En un curso memorable Rafa ha sumado el Open de Australia y Roland Garros, una secuencia que no había logrado nunca y ha consumado con 36 años. Y es que lo que parecía imposible, que la leyenda de Rafa en París fuera más allá sigue creciendo.
2. El Samur exporta su modelo: Mauritania tendrá un servicio de Emergencias basado en el de Madrid

El Samur traspasa fronteras. El Servicio de Asistencia Municipal de Urgencias y Rescate de Madrid está desarrollando un servicio de asistencia extra hospitalaria de urgencia en la capital de Mauritania, Nuakchot. Es uno de los proyectos que ha conocido la Reina Letizia durante su viaje de cooperación al país islámico y que dotará, por primera vez, a la población de atención técnica. El proyecto abarca todas las fases, desde poner en marcha el centro regulador donde se dirigen las llamadas urgentes, la instalación de varias ambulancias en ocho puntos de la capital, el contacto con los hospitales locales para dirigir a los pacientes hasta la elección de los medicamentos que llevan a bordo de los vehículos.
3. El descubrimiento arqueológico más grande hallado en Egipto: 250 sarcófagos con momias y 150 estatuas de bronce

Una misión arqueológica egipcia ha hallado el que se considera el primer escondite con más de un centenar de estatuas de bronce que datan del Periodo Tardío (724-343 a.C.) del Egipto faraónico en la necrópolis de Saqara, al suroeste de El Cairo, según informó el pasado martes el Gobierno egipcio.
“El descubrimiento incluye 150 estatuas de bronce de varios tamaños para varias deidades del antiguo Egipto como Anubis, Amun Min, Osiris, Isis, Nefertum, Bastet y Hathor, además de un grupo de vasijas de bronce relacionadas con los rituales de la diosa Isis”, aseguró el secretario general del Consejo Supremo de Antigüedades, Mustafa Waziri, en un comunicado del Ministerio de Antigüedades.
4. Menos de 3 millones de parados con un 21% más de temporales

El mejor mes del año en términos laborales, hasta en mayo de 2020 creció la afiliación, no ha decepcionado como consecuencia de las previsiones del primer verano plenamente “normal” desde la pandemia. El número de desempleados ha descendido en 99.512 parados en relación con el mes anterior. Sin embargo, se trata de una reducción sensiblemente inferior en términos brutos que la de hace un año. En mayo de 2021, el paro se redujo en 129.378 desempleados.
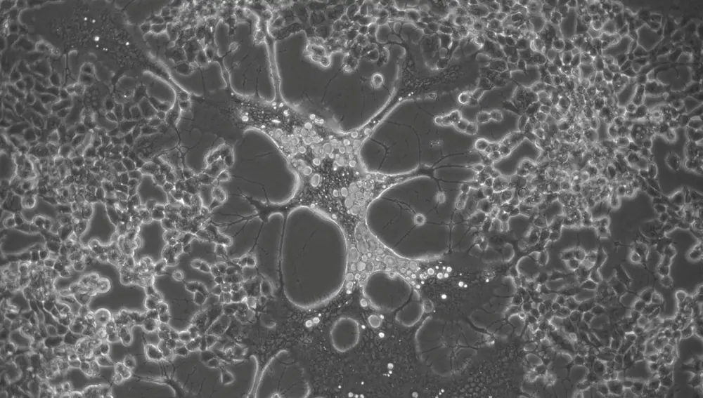
5. Virus del herpes, la nueva esperanza contra el cáncer

Aunque la pandemia de la Covid-19 ha copado todos los titulares de los últimos dos años, el cáncer sigue siendo una de las enfermedades a la que más recursos de investigación se dedica. La Ciencia no ceja en el empeño de dar con nuevas herramientas que puedan ayudar en la lucha contra el cáncer, convertida en una de las patologías que mayor mortalidad provoca en nuestro país. Ahora,investigadores del Instituto Fraunhofer de Ingeniería Interfacial y Biotecnología IGB (Alemania) han conseguido modificar genéticamente el virus del herpes simple tipo 1, que provoca el doloroso herpes labial, de tal manera que en el futuro podrá utilizarse en la lucha contra el cáncer.
✕
Accede a tu cuenta para comentar

El colapso de la legislatura
La «no» moción del PP: una mayoría alternativa con Junts

Comunidad Valenciana
