
Salud
La batalla contra el Alzheimer: estos son los primeros síntomas a los que debes estar atento
Los primeros signos del Alzheimer pueden ser detectados hasta una década antes de su diagnóstico

La enfermedad de Alzheimer, descrita por primera vez en el año 1906 por el psiquiatra Alois Alzheimer, es una de las condiciones más temidas por los españoles. De acuerdo a un estudio realizado por Ipsos y la Fundación Pasqual Maragall, esta enfermedad neurodegenerativa sólo fue superada por el cáncer en el ranking de las enfermedades a las que más miedo tenían, muy lejos de la tercera en la pole, que era el ictus.
El Alzheimer afecta principalmente a personas mayores de 65 años y se caracteriza por una pérdida progresiva de la memoria y otras funciones cognitivas. Actualmente, no existe una cura definitiva para esta enfermedad, aunque hay tratamientos que pueden ayudar a manejar los síntomas y mejorar la calidad de vida de los pacientes, si son detectados a tiempo:
Cómo se manifiesta el Alzheimer
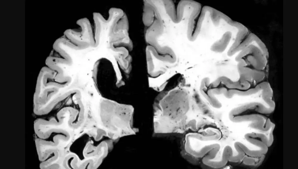
El impacto de esta enfermedad es progresivo, pero devastador. El Alzheimer afecta las células nerviosas que funcionan como mensajeros entre el cerebro y el resto del cuerpo. Cuando las conexiones entre estas células se ven afectadas por el Alzheimer, se generan serios problemas en nuestra capacidad para pensar, planificar, razonar y recordar. Por esta razón, uno de los primeros síntomas del Alzheimer es la pérdida de memoria, especialmente de la memoria reciente. Las personas que padecen esta enfermedad pueden olvidar con facilidad eventos recientes o tener dificultades para recordar nombres de personas u objetos comunes.

También pueden encontrar problemas al intentar concentrarse o realizar tareas simples que requieren atención, como seguir una receta o hacer una llamada telefónica. Además, enfrentan numerosas dificultades para planificar o llevar a cabo tareas cotidianas, como hacer la compra o utilizar el transporte público.
Otros síntomas del Alzheimer incluyen la pérdida de interés en actividades anteriormente disfrutadas, indecisión al tomar decisiones, cambios en la personalidad y el comportamiento, y la aparición de conductas impulsivas o agresivas. Las personas afectadas también pueden tener dificultades para hablar o escribir, o confundir palabras y fechas importantes. En las etapas avanzadas de la enfermedad, pueden presentarse síntomas más graves, como alucinaciones, dificultad para tragar o problemas de movilidad.
Sin embargo, la enfermedad puede ser detectada mucho antes, si se sabe bien qué buscar. De acuerdo con el Dr. David Pérez, jefe de Servicio de Neurología del Hospital Universitario 12 de Octubre de Madrid y patrono de la Fundación Alzheimer España (FAE), “los primeros signos de la Enfermedad de Alzheimer pueden ser detectados hasta una década antes de su diagnóstico”.
Los primeros síntomas de la enfermedad
Tal y como explica el Dr. David Pérez, diez años antes de que los pacientes hayan sido diagnosticados, ya aparecen algunos síntomas, entre los que se incluyen sentimientos depresivos, apatía, cambios en sus rutinas o problemas de memoria. Estos primeros indicios pueden pasar desapercibidos o ser atribuidos a otros factores, pero son señales importantes que no deben ser ignoradas.
Unos años más tarde, en torno a los 6 años previos al diagnóstico formal, suelen apreciarse dificultades para realizar algunas tareas complejas y cotidianas. Estas dificultades pueden manifestarse en la incapacidad para usar el transporte público con normalidad, la falta de habilidad para administrar dinero correctamente, o la imposibilidad de seguir un tratamiento médico de forma consistente. Estas señales, aunque sutiles al principio, pueden ser indicativas deproblemas más profundos que se desarrollarán posteriormente.
Es importante hablar con un médico si se presentan alguno de estos síntomas. Pueden ser atribuidas a otros factores, pero no debemos descuidarlos. Un profesional puede realizar pruebas, ofrecer una evaluación detallada y proporcionar orientación sobre el manejo de la situación. Buscar tratamientos tempranos y adoptar medidas preventivas puede mejorar la calidad de vida del paciente y retrasar el avance de la enfermedad.
¿Cuáles son las opciones disponibles de tratamiento?
Las opciones de tratamiento disponibles para el Alzheimer incluyen medicamentos y terapias que pueden ayudar a retrasar los síntomas y mejorar la capacidad del paciente para realizar tareas diarias. Además, existen organizaciones y grupos de apoyo que pueden asistir a las personas con Alzheimer y a sus familias a enfrentar esta difícil enfermedad.

Para retrasar al máximo posible la aparición y consolidación de los síntomas del Alzheimer, es fundamental mantener un estilo de vida lo más saludable posible. Esto es lo que reveló un estudio realizado por científicos de la Facultad de Medicina de la Universidad de Michigan y su par de la Universidad de Chicago, cuyas conclusiones fueron publicadas en The British Medical Journal.
Entre otros hallazgos, los científicos determinaron que una buena dieta, actividad cognitiva estimulante, ejercicio físico regular, una vida sin tabaquismo y consumo moderado de alcohol podrían retrasar hasta en 3,1 años los síntomas de la enfermedad en mujeres… y hasta en 5,7 años en el caso de los hombres.
✕
Accede a tu cuenta para comentar


