
Países Bajos
De rechazar la vacuna de AstraZeneca a ingresar en la UCI por una insuficiencia respiratoria causada por covid
Es la trágica historia de un paciente de coronavirus con la que los médicos del Países Bajos exigen usar todas las vacunas disponibles

Se le había ofrecido una inyección de AstraZeneca, pero la rechazó por miedo a desarrollar coagulación sanguínea. Ahora se encuentra luchando por su vida en un hospital neerlandés, conectado a respiración asistida. Es la trágica historia de un paciente de covid-19 con la que médicos de Países Bajos exigen usar todas las vacunas disponibles.
A required part of this site couldn’t load. This may be due to a browser
extension, network issues, or browser settings. Please check your
connection, disable any ad blockers, or try using a different browser.
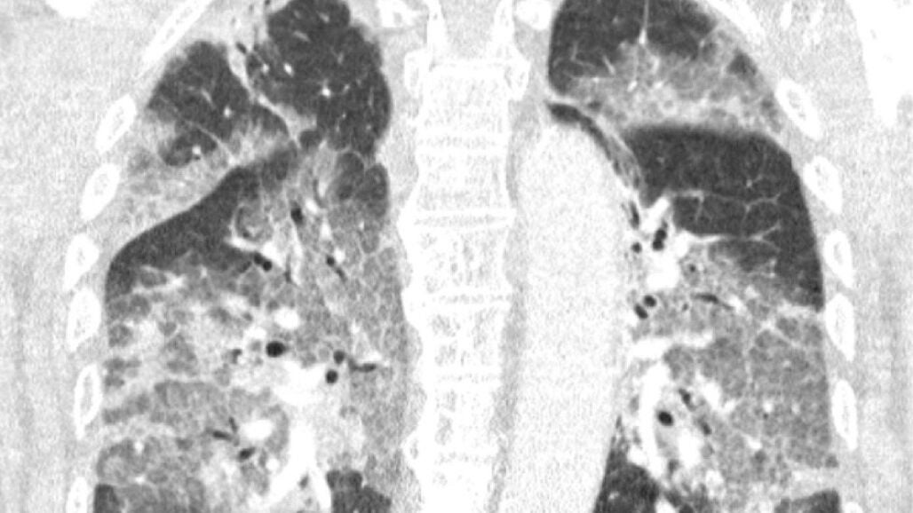
La carta abierta de estos sanitarios neerlandeses, acompañada de una radiografía de los pulmones de su paciente que no deja indiferente, va dirigida al ministro de Sanidad en funciones, Hugo de Jonge, en una crítica a la paralización del uso de Janssen, filial de Johnson & Johnson, y de las limitaciones de edad impuestas al uso de AstraZeneca.
“Hoy ingresó en nuestro hospital el primer paciente que se había negado a recibir la vacuna de AstraZeneca tras toda la conmoción en la prensa. Oímos el tremendo pesar en su voz y la desesperación en sus ojos. El virus lo ha atacado y podría haberse evitado. Con su permiso, compartimos su escáner de pulmón. No es necesario ser un especialista en pulmones para reconocer la devastación, ni epidemiólogo para explicar los riesgos de no estar vacunado”, alertaron.
Países Bajos tiene almacenadas desde el lunes 80.000 dosis de Janssen a la espera de una recomendación científica de la Agencia Europea del Medicamento (EMA) sobre su seguridad y su posible relación con seis casos de coagulación sanguínea inusual en Estados Unidos, único país que ha usado ya esta vacuna monodosis.
La vacuna es la solución
Además, y después de que la EMA alertara de un “posible vínculo” de AstraZeneca con decenas de casos de tromboembolismos muy raros en personas que recibieron la inyección, Países Bajos decidió usarla solo en personas mayores de 60 años, un grupo de edad donde este preparado ha mostrado menos casos de este efecto adverso.
Después de los debates sobre AstraZeneca y las divergencias que han mostrado los países europeos sobre si mantener o no la vacunación con este preparado, un 42 % de los mayores de 60 años aún sin vacunar en Países Bajos rechazaron ponerse esta vacuna, según una encuesta de I&O encargada por la televisión neerlandesa NOS.
Los firmantes de la carta publicada este viernes, que son empleados del centro médico Zuyderland, en el sureste de Países Bajos, han alertado de que “el riesgo de daño grave causado por la covid-19 es diez veces mayor para las personas de 40 años y 70 veces mayor para las de 60 años, que el riesgo de daño grave por trombosis” de la vacuna.
“Hasta ahora, hemos atendido a más de 3.000 pacientes con coronavirus y, mientras (usted) habla con expertos sobre la reapertura de la sociedad para ofrecer perspectiva, nosotros todavía vemos a diario las tremendas consecuencias de esta enfermedad”, lamentaron.
Reapertura en abril
El Ejecutivo neerlandés presentó el pasado martes un plan para “reabrir la sociedad de manera responsable” en las próximas semanas y poner fin al toque de queda a partir del 28 de abril, pero lo condicionó al control de una tercera ola de contagios que está desatada, por lo que esta promesa corre el riesgo de no poder cumplirse hasta mayo.
Este planteamiento es muy criticado por los que trabajan en primera línea contra la covid-19. “Los empleados se preguntan legítimamente por qué deben continuar brindando atención sin la protección adecuada, mientras las vacunas esperan en el refrigerador”, denunciaron.
Estos médicos exigen al ministro “dejar de retrasar (la vacunación) y provocar inquietud” y le recordaron que “las cifras muestran que los beneficios de la vacunación masiva son abrumadores y no mienten”.
“Dejemos que la gente elija si quiere evitar una situación como la de nuestro paciente”, instaron, pidiendo poner a su disposición “AstraZeneca, Janssen o cualquier otra vacuna” y abogaron, como la mayoría parlamentaria, por “la vacunación voluntaria sobre la base del consentimiento informado”.
Además, como conclusión a su carta, amenazaron con usar sin permiso las dosis de AstraZeneca que tienen en la nevera en los empleados y médicos del centro hospitalario a partir del lunes, y advirtieron de que ya no “cooperarán voluntaria y conscientemente con daños evitables” a través de la vacunación.
✕
Accede a tu cuenta para comentar


