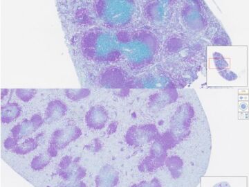
Un mapa celular para tratar tumores incurables en la infancia
Se trata de un avance en relación al neuroblastoma en menores de edad.

Se trata de un avance en relación al neuroblastoma en menores de edad.

Tras capturar un ejemplar, se han resuelto las incógnitas que había en torno al también llamado "pez fantasma" por su cabeza transparente y ojos tubulares de color verde

Bastan dos minutos de estimulación eléctrica para aumentar la posibilidad de hipnotizar a alguien.


Un experto en prevención de desastres señala las claves que permitieron al país enfrentarse a este tipo de catástrofes durante siglos.

Por ahora solo utilizan esta capacidad en sus congéneres, pero ¿podríamos aprovecharnos los humanos de esto?

Científicos afirman haber hallado un vínculo entre las acilspermidinas, una familia de metabolitos, y las sirtuinas, una diana prometedora para mejorar la duración de la salud y la longevidad

Se trata de un sistema fruto de 5.000 años de investigación y que sigue siendo efectiva.

Se reduce la posibilidad de diferentes tipos de tumores, menos estrés, mejor calidad de sueño y el cerebro recupera funciones fundamentales.

Un nuevo estudio revela que, al “volcarse” un recuerdo visual, se forma una imagen “en negativo” en las estructuras relacionadas con la memoria

La "biología de la resurrección" está en auge en la comunidad científica con cuatro grandes grupos de investigaciones en marcha

Científicos afirman que las áreas cerebrales relacionadas con la memoria no representan la información de forma abstracta, como se creía, sino como un "negativo fotográfico"

Las distintas partes de la enorme lente ya han sido construidas, pero ahora hay que ensamblarlas

El cohete fue lanzado desde el Centro Espacial Satish Dhawan, en Sriharikota, India, y su carga es XPoSat, un satélite de 480 kg para detectar rayos X
Enmienda a la totalidad