
Salud
Histórico: una terapia experimental 'suprime' tumores en 8 personas con cáncer gastrointestinal metastásico
Es la primera vez que se logran estos resultados, que ofrecen esperanza contra una variedad de tumores sólidos que representan un gran desafío, como los del cáncer de hígado, colon, estómago o páncreas

El cáncer gastrointestinal metastásico incluye varios tipos de cáncer: el de estómago y esófago, el cáncer colorrectal, el de páncreas, el de hígado... Cuando se le da este nombre, significa que el cáncer ha avanzado hasta diseminarse desde el tubo gastointestinal a otras partes del cuerpo. A veces, también se le denomina cáncer gastointestinal avanzado o en estadio IV. Alcanzada esta etapa, las probabilidades de supervivencia son reducidas.
En este escenario, se publica un avance sin precedentes en el tratamiento del cáncer, que ha despertado las esperanzas de investigadores y pacientes por igual, al demostrar una eficacia sorprendente en la reducción del tamaño de tumores sólidos en pacientes con cánceres gastrointestinales en fase de metástasis.
Se trata de una nueva forma de terapia con linfocitos infiltrantes de tumor (TIL, por sus siglas en inglés), un tipo de inmunoterapia personalizada contra el cáncer que mejoró significativamente la eficacia del tratamiento en los pacientes, según los resultados de un ensayo clínico liderado por investigadores de los Institutos Nacionales de Salud (NIH), en Estados Unidos.
Los hallazgos, publicados el 1 de abril de 2025 en la revista Nature Medicine, ofrecen la esperanza de que esta terapia pueda usarse para tratar una variedad de tumores sólidos, que hasta ahora han representado un desafío para los investigadores que desarrollan terapias celulares.
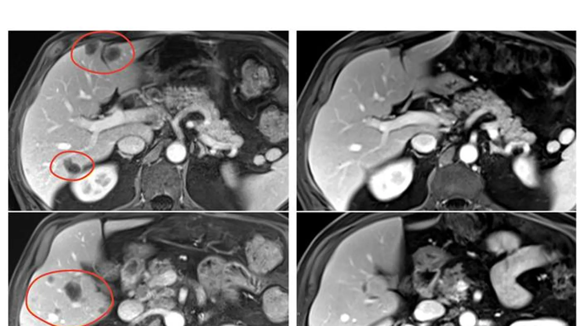
El 24% de los pacientes vieron reducido el tamaño de sus tumores
El método consiste en identificar y seleccionar células inmunitarias (TIL) presentes en el tumor, que reconocen y atacan específicamente las células tumorales del paciente. Luego, los científicos cultivan estas células en grandes cantidades en el laboratorio antes de administrarlas nuevamente al paciente. Los pacientes en el ensayo clínico, que presentaban distintos tumores gastrointestinales, también recibieron el inhibidor de puntos de control inmunológico pembrolizumab (ampliamente comercializado como Keytruda) para potenciar aún más su respuesta inmune.
Como resultado, casi el 24% de los pacientes tratados con TIL seleccionados más pembrolizumab experimentaron una reducción significativa en el tamaño de sus tumores, en comparación con el 7,7% de los pacientes que recibieron TIL seleccionados sin pembrolizumab. Los pacientes tratados con TIL que no habían sido seleccionados por su actividad antitumoral no mostraron reducción tumoral.
Hemos abierto una grieta en la muralla de los cánceres sólidos
"Estamos viendo la primera expansión de la terapia celular con TIL en cánceres sólidos comunes", afirmó Steven A. Rosenberg, investigador principal del estudio en el Instituto Nacional del Cáncer del NIH. "Hemos encontrado una pequeña grieta en la muralla de los cánceres sólidos mediante la inmunoterapia celular, y creemos que podemos ampliarla aún más".
El ensayo clínico incluyó a 91 pacientes con cánceres gastrointestinales metastásicos—como cáncer de esófago, estómago, páncreas, colon y recto— que habían empeorado tras recibir una mediana de cuatro regímenes de tratamiento previos.
En la fase piloto del ensayo, 18 pacientes fueron tratados con TIL sin selección específica para actividad antitumoral, y ninguno presentó respuestas objetivas (una reducción del tumor de al menos el 30%). En la segunda fase, 39 pacientes fueron tratados con TIL seleccionados, de los cuales tres (7,7 %) mostraron respuestas objetivas.
Los hallazgos más notables se produjeron en la tercera fase del ensayo, en la que 34 pacientes recibieron pembrolizumab antes de la infusión de TIL seleccionados. Este enfoque tenía por objeto preparar el sistema inmunitario, evitando que los TIL recién introducidos quedaran inutilizados por la respuesta inmunitaria existente en el paciente. Sorprendentemente, esta cohorte obtuvo una tasa de respuesta objetiva del 23,5%, lo que pone de manifiesto la posibilidad de que las combinaciones estratégicas de intervenciones inmunológicas puedan revolucionar las vías de tratamiento de los tumores sólidos.
Es importante señalar que en el estudio se observaron efectos secundarios graves en aproximadamente el 30% de los individuos tratados con la terapia TIL seleccionada, lo que pone de relieve la necesidad de una vigilancia continua en el seguimiento de los pacientes sometidos a tratamientos tan innovadores.
La terapia TIL, que empezó a utilizarse a finales de la década de 1980, ha evolucionado notablemente desde sus inicios. La reciente aprobación por la FDA de lifileucel (Amtagvi), la primera terapia TIL para el tratamiento del melanoma avanzado, ha marcado un momento crucial en el tratamiento del cáncer.
Mientras los investigadores siguen perfeccionando y adaptando las metodologías existentes, su enfoque representa un cambio de paradigma en el panorama del tratamiento de los cánceres sólidos, caracterizado por la esperanza en la innovación.
Ahora, los investigadores están desarrollando métodos para identificar TIL que reconozcan múltiples proteínas específicas dentro del tumor, conocidas como neoantígenos, con el fin de aumentar la cantidad de pacientes que responden a la terapia con TIL seleccionados y pembrolizumab.
A medida que los investigadores sigan explorando las intrincadas dimensiones de esta estrategia inmunoterapéutica, el horizonte promete metodologías de tratamiento más eficaces y selectivas que podrían escribir un nuevo capítulo en los anales de la atención oncológica.
✕
Accede a tu cuenta para comentar


