
Investigación
Un estudio mejora el tratamiento de larga duración en memoria e inflamación en síndrome de Down
Abre la puerta a nuevos estudios clínicos para explorar un tratamiento de capaz de contrarrestar las alteraciones cognitivas de este síndrome

Un estudio liderado por la Universitat Pompeu Fabra (UPF) de Barcelona ha demostrado, en modelos de ratón para el síndrome de Down, que el tratamiento farmacológico de larga duración sobre la diana terapéutica del receptor cannabinoide de tipo 1 (CBR1) mejora las alteraciones de memoria e inflamación. El hallazgo, publicado en la revista 'Alzheimer & Dementia', abre la puerta a nuevos estudios clínicos para explorar un tratamiento de larga duración capaz de contrarrestar las alteraciones cognitivas de este síndrome y el deterioro cognitivo asociado, informa en un comunicado de este viernes. El líder del estudio e investigador de la UPF, Andrés Ozaita, ha explicado que hace años que se estudian las alteraciones del sistema endocannabinoide en distintos modelos de discapacidad intelectual, especialmente la derivada del síndrome de Down.
"Ahora, hemos visto que este sistema está alterado en regiones cerebrales concretas de las personas con síndrome de Down y hemos podido confirmar que, en ratones modelo para este síndrome, un tratamiento experimental de larga duración mejora la conducta cognitiva", ha dicho. Según el estudio, regiones muy concretas del hipocampo de personas con síndrome de Down tienen niveles elevados del receptor cannabinoide de tipo 1, que está implicado en el buen funcionamiento de las conexiones neuronales, la neuroinflamación y la memoria. Esta alteración --ya descrita en ratones en 2019-- mejora sustancialmente con un tratamiento farmacológico de larga duración, desde la infancia a lo que equivaldría a la mediana edad en roedores, redirigiendo sus capacidades cognitivas.
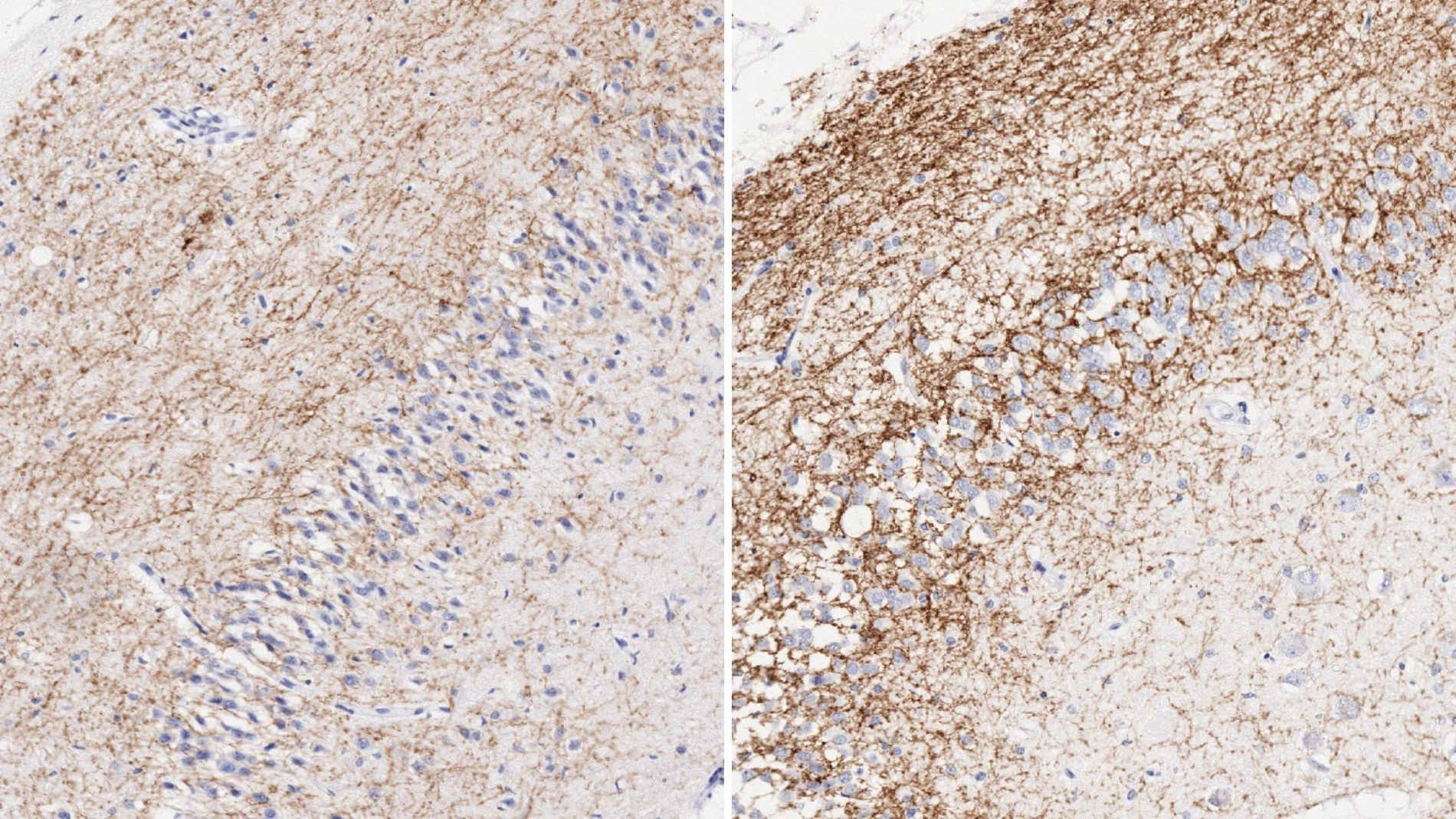
La primera autora del artículo, Anna Vázquez-Oliver, ha señalado que utilizar esta diana terapéutica ha dado "resultados positivos" en ratones adultos jóvenes, y ahora se ha observado que también funciona en la mediana edad, cuando empiezan a aparecer rasgos asociados a la neurodegeneración. "Esta intervención farmacológica experimental ayuda a mejorar la memoria de los ratones trisómicos, pero en ningún caso revierte las señales de neurodegeneración", ha apuntado. El estudio describe también que el tratamiento farmacológico revierte las alteraciones morfológicas de la microglía --células del cerebro implicadas en la respuesta neuroinflamatoria típicas de las enfermedades neurodegenerativas-- y la presencia de marcadores de inflamación en el plasma de los ratones.
Pese a que los investigadores tienen claro que tratar esta diana no revierte todos los efectos de la trisomía, esperan que el encuentro abra "nuevas vías" para mejorar la calidad de vida y la independencia de las personas con síndrome de Down, incluso de aquellas que ya presentan alteraciones debidas a la degeneración neuronal. Ozaita se muestra optimista: "Basándonos en lo que vemos en nuestro estudio con ratones, parece plausible desarrollar un tratamiento de larga duración que mejore de forma sostenida la calidad de vida de las personas con síndrome de Down".
✕
Accede a tu cuenta para comentar


